Celebrating Your Success!
***
Pass ALL the Certification Boards!
By: http://www.PodiatryPrep.org
The Foot and Ankle Research Consortium, Inc. (FARC) is the leading publisher of Podiatric educational software. Since 1992, we have been producing the most effective and innovative method of preparing for ALL the Podiatry Board Examinations.
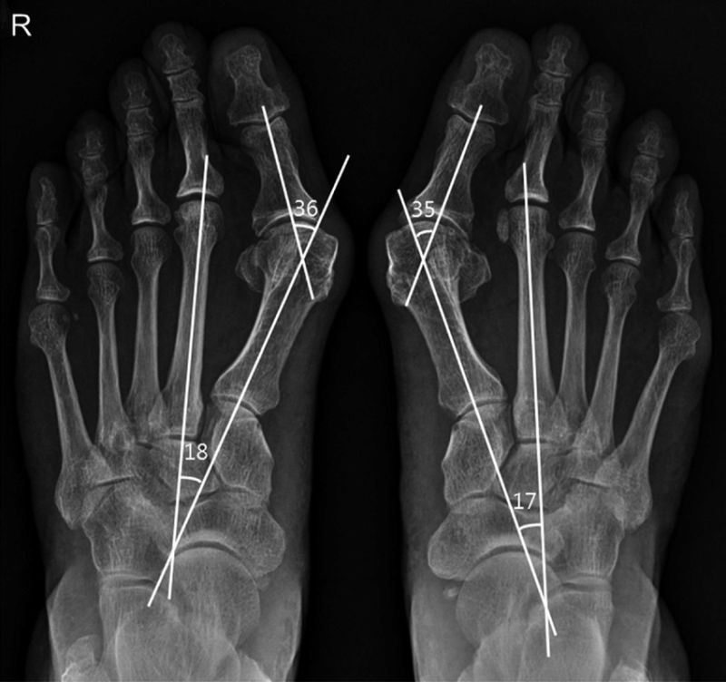
CURIOUS STUDY: Hallux Valgus Met I
SCARF: scarf osteotomy

This includes: The American Board of Podiatric Surgery, The American Board Of Podiatric Orthopedics and Primary Podiatric Medicine, the American Podiatric Medical Specialties Board, ABLES and the PMLexis. (Now includes the latest information for all Board Re-Certifications).
CONTENTS: https://podiatryprep.org/compatibility-test/
Customization and private tutoring services also available.
FAN CLUB: https://podiatryprep.org/podiatryprep-fan-club/
PURCHASE – PREPARE – PASS®
ORDER HERE: https://podiatryprep.org/order-form/
GOOD LUCK!
Thank You
***
Filed under: "Doctors Only", Career Development | Tagged: ankle surgery, foot surgery, leg surgery, podiatric medicine, podiatric orthopedics, podiatric surgery, Podiatry Board Certification, podiatry board preparation, podiatry prep, podiatry software, wound care | Leave a comment »





















